본문바로가기

동물수술센터

Veterinary Surgical Center

동물수술센터
예시이미지

해마루 동물센터가 특별한 이유

  • 확장된 멸균 수술실 2곳에서 동시 수술 가능

  • 최신 C-arm 및 Portable X-Ray 도입

  • 전용 치과 수술실 및 최고 사양 Dental CR 도입

해마루 동물병원 수술센터는 2021년에 외과 수술실을 별관으로 확장 이전하여 보다 좋은 환경에서 분과별로 일반외과,
정형신경외과, 안과, 치과 분야에 최선을 다해 수술을 전문적으로 시행하고 있습니다.
고난도 수술을 위해 새로운 수술 및 진단 장비를 추가로 구비하였으며, 보다 멸균적인 수술 환경을 위해
넓은 면적의 멸균 수술실 2곳과 수술 준비실, 별도의 치과 수술실을 갖추게 되었습니다.
응급상황에서 정확하고 신속한 수술치료를 위해 본관에 응급 수술실을 별도로 운영하고 있습니다.

해마루 동물수술센터는 지난 20년간 축적된 많은 수술 경험과 데이터,
의료진의 끊임없는 자기 계발을 통해 지속적으로 발전하고 있습니다.

정형/신경외과 수술

보행이상을 일으키는 뼈, 관절, 힘줄 등의 정형외과 질환과 뇌, 척수, 말초 신경과 같은 신경계 질환에 대해 감별하여 진단과 치료를 진행합니다.
기본적인 신체검사, 정형/신경계 검사를 토대로 영상학적 검사를 진행하여, 보행이상에 대한 진단 및 처치, 수술을 통해 반려동물의 통증을 줄여주고
삶의 질을 향상시킬 수 있는 치료를 하고 있습니다. 수술적 처치가 지시되지 않거나 기저질환 등으로 인하여 수술이 어려운 환자의 경우
약물 및 주사 처치나 재활치료를 통해 증상 완화 효과를 볼 수 있습니다.

  • 수술이미지
  • 수술이미지
아이콘

정형외과 수술

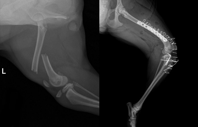
01골절수술

단순골절뿐만 아니라 분쇄골절, 성장판 골절 등 다양한 골절 수술을 진행하며, 수술을 위한 다양한 이식물 적용이 가능합니다.
불유합이 있거나, 노령 등으로 인하여 골유합에 문제가 있을 경우를 대비하여 다양한 골이식재를 적용하여 치료하고 있습니다.

  • 예시이미지
    천장관절 탈구 수술 전 / 후
  • 예시이미지
    골반골절 수술 전/ 후
  • 예시이미지
    대퇴골 골절 및 경골 성장판 골절 수술 전 / 후
  • 예시이미지
    골유합 촉진을 위한 골이식제 적용
02관절수술

슬개골 탈구의 원인에 따라 환자마다 다른 수술법을 적용하여 수술을 진행하고 있습니다.
전십자인대 단열의 경우 환자의 크기와 상태를 고려하여 인공인대를 만들어 주는 관절 외 봉합(Lateral fabello-tibial suture) 방법과 정강이뼈를 잘라 각도를 바꾸어 주는 (TPLO, TWO)수술을 진행합니다.
각종 관절 탈구에 대한 치료로, 고관절은 Toggle pin을 이용하여 관절을 환납하며, 그 외 관절은 인공인대를 만들어 주어 환납을 하거나, 인대 손상이 매우 심한 경우에는 관절 고정술을 진행하여 치료합니다.
고관절 이형성이 있는 경우 Triple pelvic osteotomy 혹은 Double pelvic osteotomy를 통한 이형성 예방적 수술을 진행합니다.

  • 예시이미지
    슬개골 탈구 수술 전 후 (경골조면이식, 활차성형술)
  • 예시이미지
    전십자인대 단열 교정술 전/후 (관절낭 외 봉합)
  • 예시이미지
    파열된 힘줄 재건술
  • 예시이미지
    전십자인대 단열 교정술 전/후 (TPLO, 경골고원 편평화 절골술)
  • 예시이미지
    전십자인대 단열 교정술 전/후 (TWO, 경골쐐기절골술)
  • 예시이미지
    대퇴골두 성장판 골절 후 부정유합되어 대퇴골두절단술 (FHNO)진행
  • 예시이미지
    고관절 탈구 후 환납수술 (Toggle pin)
예시이미지
주관절 탈구 환납수술
예시이미지
앞발목 관절고정술
아이콘

신경외과 수술

경추, 흉요추 디스크에 대해 각각 Ventral slot, Hemilaminectomy 수술을 통하여, 탈출된 디스크를 제거하고 압박된 척수를 감압하는 치료를 하고 있습니다.
소형견에서 흔한 경추 1~2번의 불안정성을 보이는 환축추아탈구(AAI)에 대해서도 수술적 고정을 진행하며, 그 외 척추골절, 척수 종양 등 신경외과적 수술을 진행하고 있습니다.
뇌 질환에서는 뇌수두증, 키아리유사기형, 뇌종양 등의 수술을 진행합니다.

  • 예시이미지
    경추 디스크 수술 (Ventral slot)
예시이미지

- T12-13 수준의 척수 배쪽으로 T1 저신호. T2 저신호 물질 : IVDD (extrusion)
: 디스크 물질은 중앙 - 좌측에 치우쳐져 있으며, 30% 가량 척수압박(), 디스크 물질은 후방 T13 추체 수준까지 이어짐
: 디스크 물질의 T2* 저신호 (epidural hemorrhage, ) 및 수막/ 디스크 물질의 조영증강()

  • 예시이미지
    흉요추 디스크 수술 (Hemilamiectomy)
예시이미지
  • 예시이미지
    경추 척수종괴제거술
  • 예시이미지
    환축추 아탈구 (AAI) 교정술
  • 예시이미지
    뇌수두증 수술 (VP shunt; 뇌실복강션트)
01재활치료

반려동물의 고령화로 사람처럼 퇴행성 질환을 가지고 살아가는 아이들이 늘어나고 있습니다. 재활만으로 환자의 임상 증상의 100% 개선을 기대할 수는 없지만 일반적인 치료와 함께 꾸준히 병행할 경우
치료의 효과를 높일 수 있으며 수술 전/후 재활치료는 예후에 긍정적인 영향을 주게 됩니다. 특히 정형, 신경외과적 질환이 있는 환자에서 보행이상 개선 및 통증 경감을 위한 재활치료를 실시하여 환자의 증상
개선과 통증 경감 효과를 볼 수 있도록 치료하고 있습니다.

해마루 재활치료센터에서는 재활치료 진행 시 정형신경외과 의료진이 환자 상태를 매번 직접 평가하여 재활치료에 반영하는 시스템을 통해 치료와 재활치료의 유기적인 연계가 가능하며,
레이저(Laser therapy), 초음파(Therapeutic ultrasound), TENS/NMES, 체외충격파, 전침치료, 극저온 냉각 치료(Cryo therapy), 수중런닝머신, 고압산소치료, 운동치료 등 다양한 재활치료 프로그램을
구축하여 환자의 질환과 상태에 맞는 맞춤형 재활치료를 실시하고 있습니다.

  • 예시이미지
    레이저 치료
  • 예시이미지
    (좌)초음파 / (우)TENS/NMES
  • 예시이미지
    (좌)전침 치료 / (우)체외충격파
  • 예시이미지
    (좌)고압산소챔버 / (우)수중런닝머신
  • 예시이미지
    극저온 냉각치료 (Cryo theraphy)